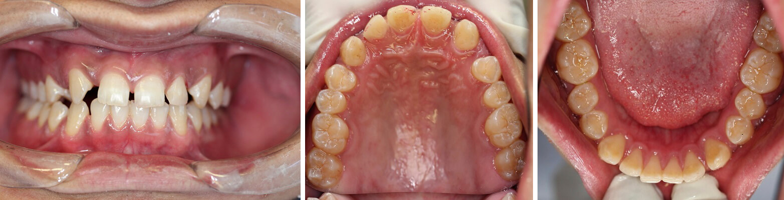
BEFORE

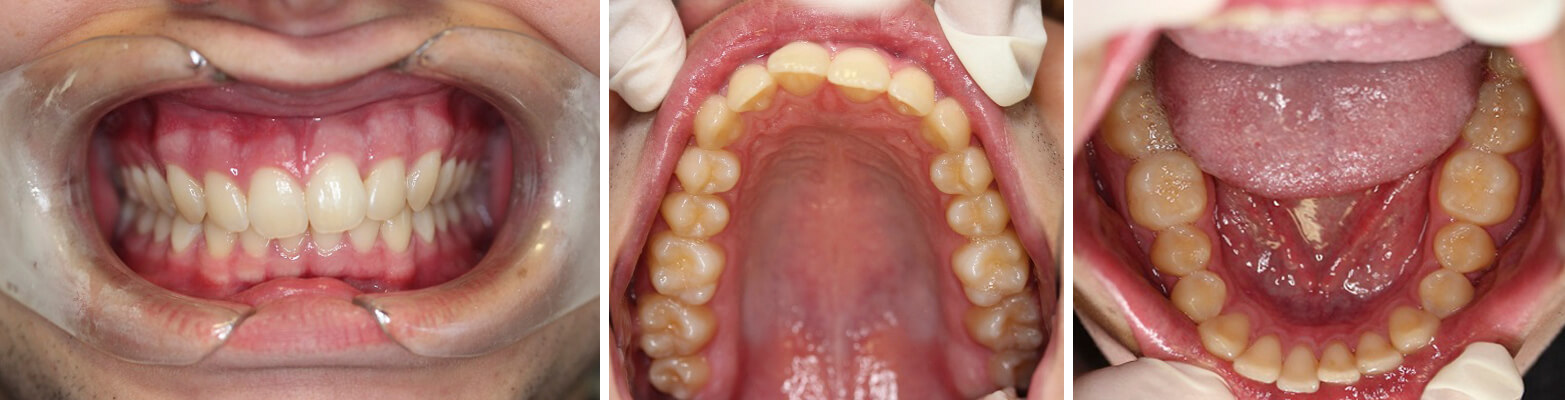
4 teeth were removed followed by orthodontic treatment with braces to achieve the perfect smile
Orthodontic treatment with braces, followed by implant to replace missing upper right lateral incisor and composite veneer on upper left lateral incisor.
BEFORE 
AFTER
BEFORE 
AFTER
Invisalign to correct deep bite and uneven smile, no teeth were removed.
Orthodontic treatment with brace, followed by 1 implant to replace lower right molar and 4 porcelain veneers to improve the aesthetics of upper anterior teeth.
BEFORE
AFTER
BEFORE
AFTER
Deep bite has been corrected with braces and teeth have been aligned to perfect arch and no teeth extraction required.